オールセラミックスクラウン
セラミックスのみを使った被せものです。金属は使いません。
セラミックスの最大の特徴は他の素材に比べて天然歯に最も近い色調と透明感を表現できることです
奥歯にも対応でき、見た目も機能的な面においても、よりいっそうのご満足が得られると思います。
またセラミックスは生体親和性が高いため、体に優しく金属アレルギーの心配もありません。
歯ぐきの黒ずみもありません。

治療例1

治療例2
ラミネートベニア
歯の表側のみ薄く削って、セラミックで覆います。歯の色や、形を美しくすることができます。

治療例
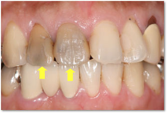
変色歯の漂白(ウォーキングブリーチ)
神経をとった歯は、変色して黒ずんできます。漂白すれば、歯を削って被せなくてもきれいになります。
ホワイトニング
自宅でできる、ホームホワイトニングです。
ホワイトニング剤と、患者様の歯の形に合わせたマウスピースを使用して、歯を白くします。
歯ぐきのメラニン除去
喫煙などで黒ずんだ歯ぐきにレーザー照射し、メラニンを除去します。
程度によりますが、通常2回の照射で、きれいなピンク色の歯ぐきにもどります。