歯周形成外科
HOME
医院案内
交通案内
医師紹介
スタッフ紹介
サイトマップ
リンク集
お問い合わせ
歯科医院様へ
CT撮影承ります
茨城にありますやまぶき歯科は、歯周病をはじめ、様々なお口の悩みに対応している歯医者です。お口に関して、少しでも気になることがあればお気軽にご相談ください。
茨城 やまぶき歯科 HOME
> 歯周形成外科
「歯ぐきがやせて歯がしみる」
「歯ぐきが下がって歯が長くなった」
「歯ブラシすると歯ぐきが痛い」
「歯の長さがそろっていない」
このようなお悩みを解決する治療法を、歯周形成外科といいます。
美しい笑顔は、口元からこぼれる白い歯とピンク色の歯ぐきのバランスが大切です。
治療例
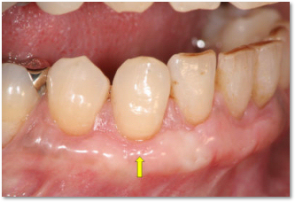
治療例1:結合組織移植による根面被覆の症例
歯ぐきが下がってしまっています。(
↑
)
見た目にも問題があります。
歯周形成外科で、露出した根面を歯ぐきで覆いました。(
↑
)
審美的にも改善されました。
治療例2:根面被覆と歯肉整形後、審美修復した症例
黄色の矢印(
↑
)の歯は、歯ぐきが下がっています。
歯の長さもそろっていません。
古い差し歯が入っています。
下がった歯ぐきを覆い、前歯4本の歯の長さをそろえて、オールセラミックスクラウンで修復しました。(
↑
)
下の前歯もオールセラミックのブリッジで修復しました。
美しく自然に仕上がり、患者様もとても喜ばれました。
個人情報保護方針
茨城で歯周病、インプラントの治療に対応の歯医者をお探しならやまぶき歯科にご相談ください。
Copyright © 2008-2015, YAMABUKI SHIKA. All Rights Reserved.
見た目にも問題があります。